+7 (495) 989-51-66 Обратный звонок
Комплексное оснащение централизованного стерилизационного кабинета
/
/
Выбор стоматологического радиовизиографа

Выбор стоматологического радиовизиографа

30.09.2025
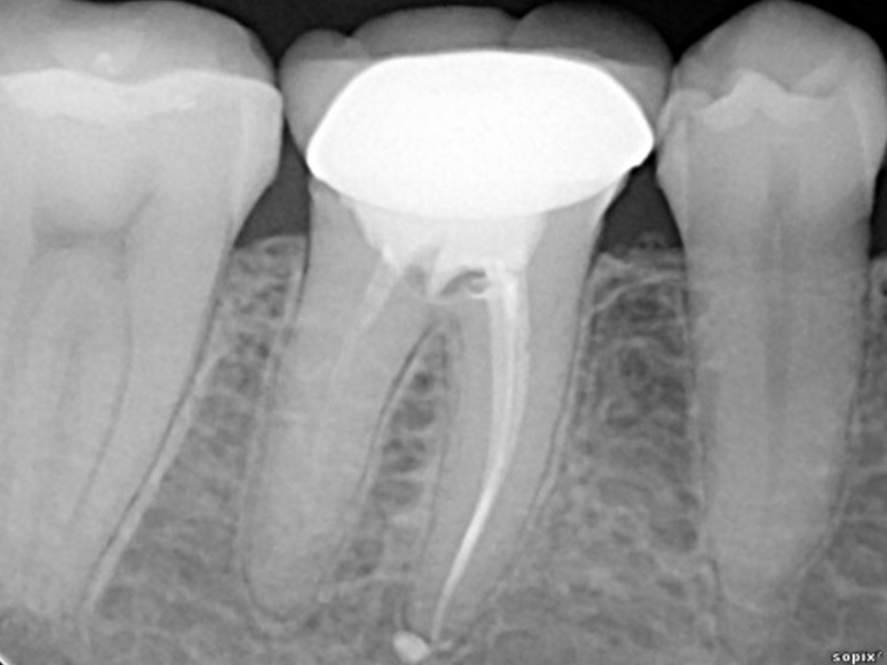
Радиовизиограф (интраоральный визиограф, датчик) – компактное цифровое устройство, позволяющее стоматологу мгновенно получать рентгеновские изображения зубов высокого разрешения и сохранять их в цифровом формате. Датчики подключаются к компьютеру, где снимки сразу же доступны для анализа.

Однако при выборе подходящего оборудования стоматологи часто сталкиваются с вопросами: какая модель прослужит дольше, обеспечит лучшее качество и будет совместима с программным обеспечением клиники?
Выбор стоматологического радиовизиографа
Компания FORDENT предлагает комплексные решения для стоматологической визуализации: подбор оборудования, поставку и техническую поддержку. Понимание ключевых факторов — стоимости, ресурса и характеристик радиовизиографа — поможет врачам сделать взвешенный выбор и эффективно использовать инвестиции.
Оглавление

    Подходящие товары

    119 000 ₽
    - 10 000 ₽
    109 000 ₽
    Стоматологический радиовизиограф

    Основные факторы при выборе радиовизиографа

    Комфорт и эргономика

    Важно обратить внимание на размеры датчика, габаритные визиографы имеют большую область захвата благодаря площади матрицы. В то же время громоздкие визиографы могут быть неудобными для пациентов, особенно с маленьким ртом или сильным рвотным рефлексом. Выбор датчиков с эргономичной конструкцией и тонким профилем может улучшить качество исследования.

    Качество изображения

    Качество изображения

    От качества изображения напрямую зависит точность диагностики и необходимость повторных исследований.

    Ключевые параметры:

    • Разрешение (измеряется в парах линий/мм): чем выше, тем детальнее изображение.
    • Чувствительность матрицы: влияет на то, насколько хорошо датчик работает при минимальной дозе излучения.
    • Алгоритмы обработки: современные программы улучшают контраст и убирают шум, что особенно важно при эндодонтических и пародонтологических исследованиях.

    Также необходимо правильно настроить время экспозиции на рентген-аппарате, так как разные датчики имеют разную чувствительность. Оптимальное решение — использовать комплект оборудования одного производителя либо подобрать совместимые устройства с помощью специалистов.

    Программное обеспечение

    Программное обеспечение

    Программное обеспечение определяет удобство работы с пациентами и исследованиями.

    На что обратить внимание:

    • Удобство интерфейса и функциональность,
    • Интеграция с клинической базой и другими видами исследований (КТ, ОПТГ, прицельные снимки),
    • Поддержка международного формата DICOM — это обеспечивает совместимость с оборудованием разных брендов.

    Некоторые визиографы работают только с «родным» софтом, поэтому важно заранее проверить возможности интеграции.

    Стоматологический радиовизиограф

    Долговечность

    Срок службы интраоральных датчиков составляет в среднем 5–7 лет при правильной эксплуатации.

    На долговечность влияют:

    • Частота использования,
    • Условия хранения и дезинфекции,
    • Аккуратность работы персонала.

    Для продления срока службы необходимо обучение сотрудников.

    Стоматологический радиовизиограф

    Основные риски:

    • Повреждение датчика при случайном прикусывании,
    • Падения устройства,
    • Износ USB-разъёмов при частом подключении.

    Рационально иметь хотя бы по одному датчику на каждый кабинет — это снижает нагрузку на оборудование и продлевает срок службы коннекторов.

    Подборка топ моделей радиовизиографов

    Мы подобрали для вас топ моделей радиовизиографов которые выбирают клиники в 2025 году!

    Китайские радиовизиографы бюджетного сегмент обладающие высоким качеством дентальной визуализации:

    Товар загружается
    Загрузка цены
    Загрузка...
    Товар загружается
    Загрузка цены
    Загрузка...

    Итальянские радиовизиографы - золотая середина по параметрам долговечности, качества исследований и стоимости:

    Товар загружается
    Загрузка цены
    Загрузка...
    Товар загружается
    Загрузка цены
    Загрузка...

    Радиовизиографы высокого качества производства Южная Корея, превосходно зарекомендовавшие себя в стоматологической практике:

    Товар загружается
    Загрузка цены
    Загрузка...
    Товар загружается
    Загрузка цены
    Загрузка...

    Не нашли, что искали?

    Поможем с выбором, ответим на все вопросы, подготовим индивидуальное предложение

    Получить консультацию